あなたの口元を見る、人の目が気になったことはありませんか?
口元を気にせず笑えたときに初めて、笑うことがストレスだったことに気づくかもしれません。
あなた本来の自然な笑顔を取り戻しましょう。
| メリット |
|
|---|---|
| デメリット |
|
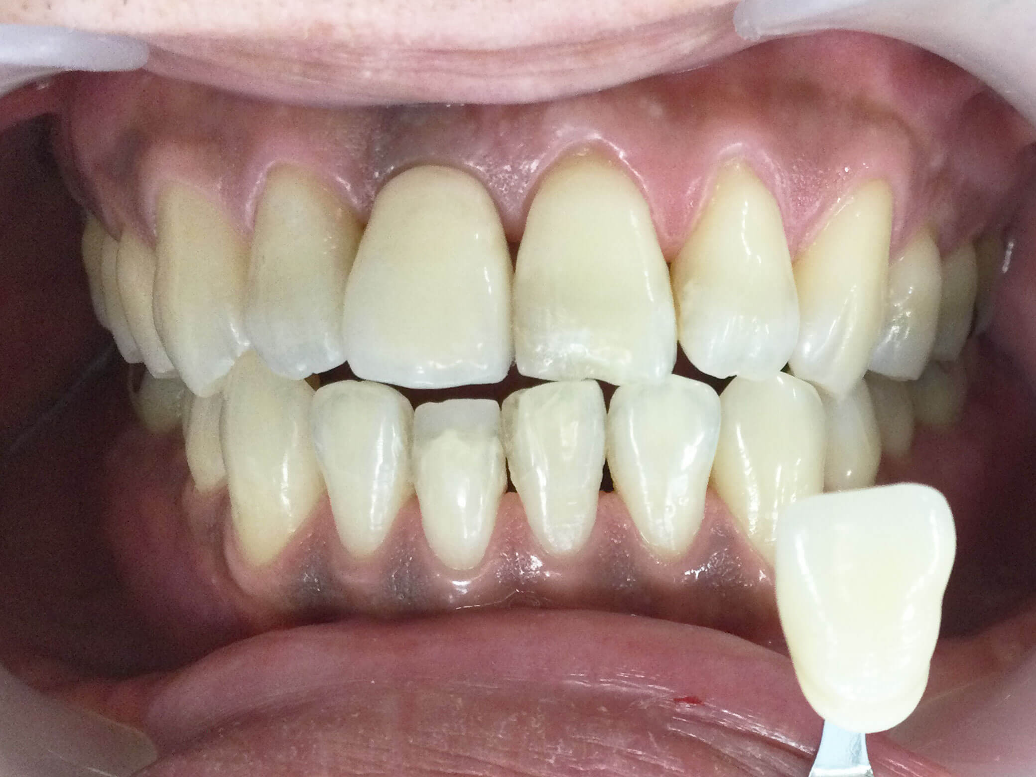
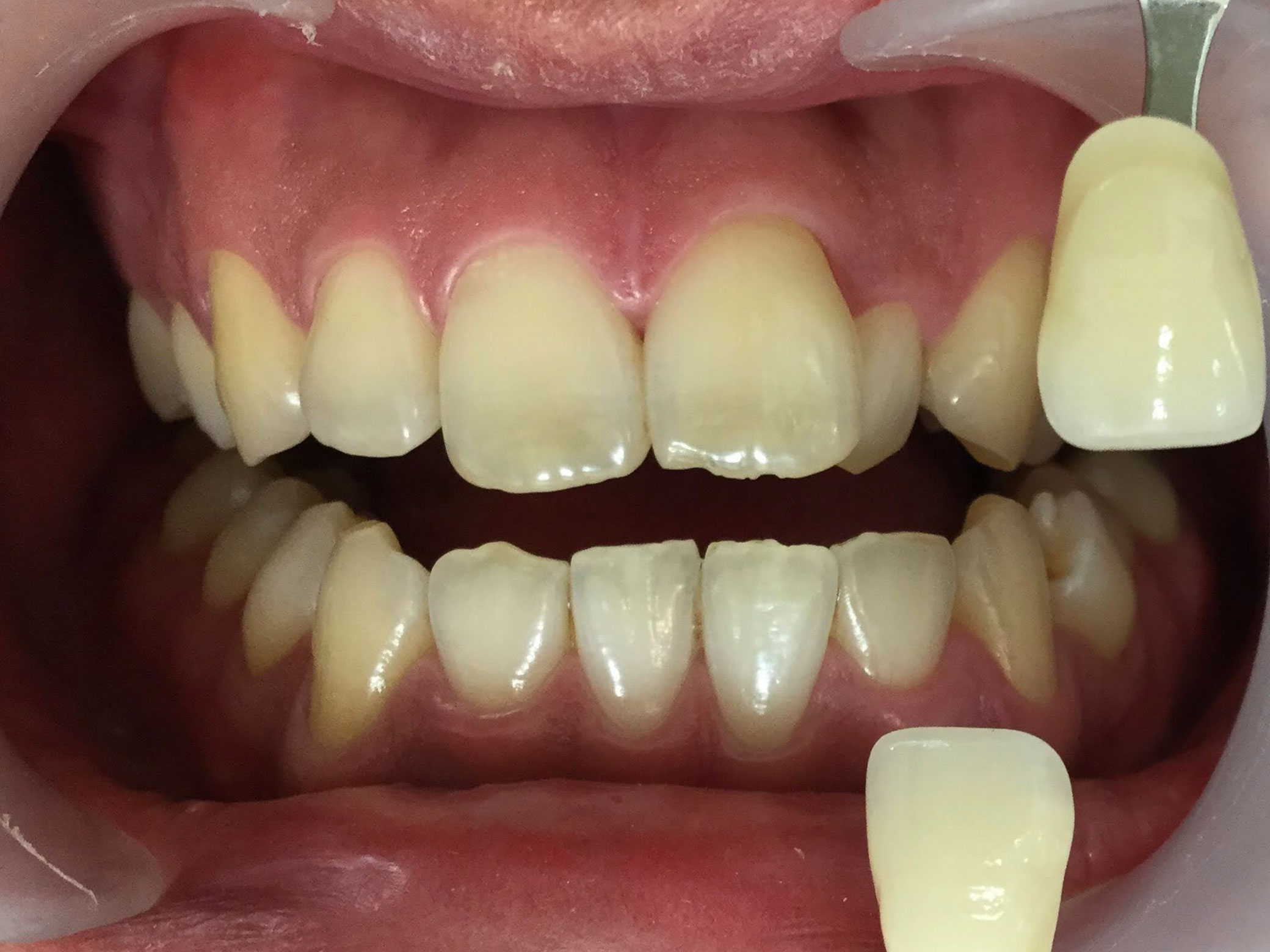
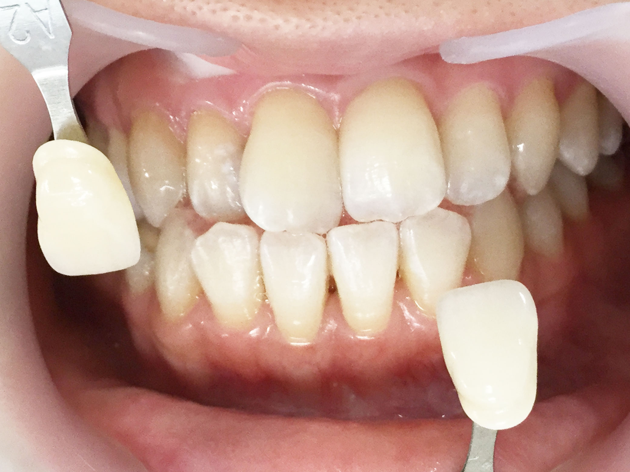
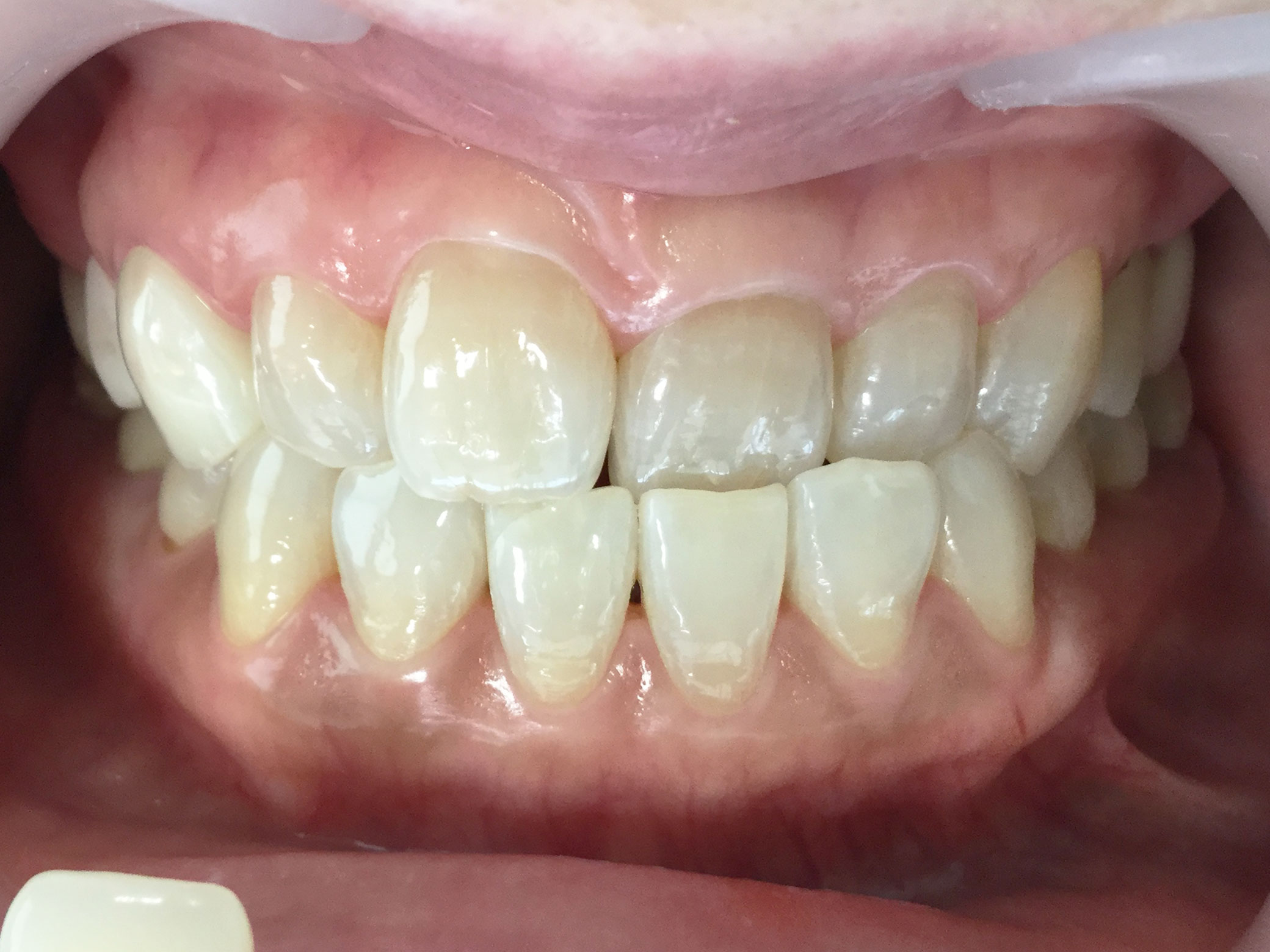
赤みを帯びた黄色で、日本人に一番多い色でA3〜A3.5が標準的です。
4つのタイプの中でホワイトニングによって一番白さを実感しやすいです。
Aタイプの次に、日本人に多いタイプのイエロー系で、Aタイプの次に白くなりやすいです。
グレーがかった色味で、最もホワイトニングの効果を実感できにくいです。
赤みを帯びたグレーです。
1、医院でするホワイトニングの中では低価格
2、痛みを感じることが少ない
3、一度で実感しやすい
4、充実したコース
5、衛生士によるしっかりしたカウンセリング
※1日に3回まで
※オフィスホワイトニング1回追加ごとに10,000円
※ホームホワイトニング追加液
(2週間分)7,000円
| 【お手軽コース】 薬剤塗布2回 LEDライト照射2回 (1時間30分程度) |
¥29,700 |
|---|---|
| 【実感コース】 薬剤塗布3回 LEDライト3回照射 (2時間程度) |
¥35,200 |
| 【完璧コース】(デュアルホワイトニング) 薬剤塗布2回 LEDライト照射2回 ホームホワイトニング (マウスピース製作と2週間分のホワイトニング薬剤お渡し) |
¥55,000 |
※国家資格を有する歯科衛生士が高濃度の薬剤を塗布し光を当てて施術いたします。
| 【ご自宅コース】 ホームホワイトニング (マウスピース製作と2週間分のホワイトニング薬剤お渡し) |
¥33,000 |
|---|
ホワイトニング剤を塗布することで、歯の表面の黄ばみ色素を分解して歯を漂白していきます。
歯科医院で行うオフィスホワイトニングと、家で行うホームホワイトニング、オフィス+ホームホワイトニングのセットからお選びいただけます。
安心・安全な歯科医院で行うホワイトニングです。
プロの手でスピーディーに、その日のうちに白い歯を実感したい方にオススメです。
1回のホワイトニングでもその効果が実感できるように設計されていますが、2回・3回とホワイトニングを追加することにより効果が上がり、より白い歯を獲得することができます。
・自分で薬剤を塗るのが手間な方
・自分で薬剤を適切に塗れるか不安な方
・ホワイトニングに時間をかけたくない方
・白さを早く実感したい方
・1日で白さを実感できる
・歯科医師、歯科衛生士の判断の上で、薬剤の量や強さなどを適切に管理できるので、安心して利用できる
・施術の後、白さや歯へのダメージが無かったかどうかを歯科医師、歯科衛生士が確認をするため、安心してホワイトニングができる
即効性の高い過酸化水素という薬剤を使って、短時間でホワイトニングの効果を実感できます。
国家資格を有する歯科衛生士が十分な説明を行い、ご納得いただけてから施術いたしますので、ホワイトニングが不安な方でも安心してお受けいただけます。
また、漂白する反応を高めるため、パワーの強いハロゲン光を用いてホワイトニングを行いますが、発熱はないのでお顔に近づけても安全です。
・知覚過敏抑制材(ウルトライーズトレイ)を使用しています。ホワイトニングの前後に使用することでホワイトニングによる痛みを軽減することができます。
当院では、「オパールエッセンスBOOST」を用いてオフィスホワイトニングを行っております。歯科医院にて歯科医師の指導の下でのみ使用を許可されているホワイトニング材です。この薬剤の特徴は、色ムラが出にくいので、より白く整った美しい歯にすることができます。
また、知覚過敏抑制材ウルトライーズを併用することで、さらに痛みが少ないので、痛みに不安な方でも安心して治療を行えます。
過酸化水素を使用する場合と使用しない場合では、目指す白さに大きな違いが出てきます。
・過酸化水素なしの場合
→表面の汚れを落として歯本来の色に戻す
・過酸化水素ありの場合
→本来の色以上に白く漂白していく
過酸化水素を利用しない方法(歯磨き粉やホームホワイトニングなど)では、表面の汚れを落とすということにとどまるため、本来の色より白くする事はできません。表面の汚れだけが気になっている方にはこちらで充分でしょう。
一方で、表面の汚れを落とすだけでなく「本来の色以上に白くしたい」という方には、一般歯科医院やホワイトニング専門医院で行う過酸化水素を利用するホワイトニングがおすすめです。
歯科医院以外で行うホワイトニングを「セルフホワイトニング」と言い、最近ではエステや美容サロンでもセルフホワイトニングができる場所が増えてきています。
セルフホワイトニングでは、オフィスホワイトニングで使用している薬剤や器具は使用できないので、本来の色以上の白さを出すことはできません。
それに対して、オフィスホワイトニングは過酸化水素を配合した液剤を用います。
過酸化水素は医薬品のため、歯科医師、歯科衛生士がいなければ扱えず、光を当てるハロゲンライトやレーザーなどの歯科機材も歯科医師、歯科衛生士しか使用できませんが、その分、元の歯の色以上に白さを出すことができます。
実は、セルフホワイトニング剤には法律上、歯を白くする医薬品を配合できず、歯の表面の汚れをとる効果しかないのが現実です。
そのため、何回セルフホワイトニングに通っても、元々の歯の色以上に白くできませんのでご注意ください。
| メリット | ・安価 ・誰にも歯を見られずに、手軽に施術が可能 |
|---|---|
| デメリット | ・過酸化水素を用いないため、白さを実感できない場合がある ・酸性の成分を使う薬剤などを使用する場合、歯にダメージが残る場合がある |
セルフホワイトニングは安価で手軽ですが、効果や安全性の面から歯科医院でのホワイトニングをおすすめしています。
歯科医師、歯科衛生士がきちんと管理した上で、オフィスホワイトニングを行うので、治療の早さや安全性、白さの満足度、アフターケアも充実しております。









※当院は知覚過敏抑制剤の「ウルトライーズ」を前もって使用していただいております。
歯科医師・歯科衛生士の指導のもと、ご自身で行うホワイトニングです。
患者さま一人一人に合わせてお作りしたカスタムトレイ(マウスピース)と、ホワイトニングジェルを持ち帰り、1日に約2時間装着し、約2週間継続してホワイトニングを行います。
歯を内側から美しくする方法で、大変自然な白さになります。
色戻りはありますが、何度も繰り返し行うことで、歯の白さを保ち続けることができます。歯を削らずに白くできるので、削ることに抵抗がある方にもお勧めです。
※最初に作ったカスタムトレイは何度でも繰り返し使うことができます。
当院でお作りしたご自身のカスタムトレイ(マウスピース)と、過酸化尿素を主成分としたホワイトニングキットをお渡しして、ご自宅で手軽にホワイトニングができます。マウスピースは透明な素材なので、装着中も目立たず、周りに気付かれる心配もありません。
オフィスホワイトニングよりは、時間がかかりますが、継続することで少しずつ白い歯になります。
また、薬剤だけを追加購入することも可能ですので、お気軽にお申し付けください。
当院では、「オパールエッセンス10%」を用いてホームホワイトニングを行っております。これは現在、日本で薬事認可を取り流通しているホームホワイトニング材の中で最も効果が高いと言われているものです。歯科医師や歯科衛生士からのご説明後に、ご自宅で使用いただけます。





オフィスホワイトニングとホームホワイトニングを併用して行うことを「デュアルホワイトニング」と言います。
素早い効果と自然な白さ、そして長持ちするという観点から、オフィスホワイトニングとホームホワイトニングの併用をお勧めしています。
オフィスとホームのメリットを利用し、それぞれのデメリットを補い合うことによって最大限のホワイトニング効果を期待することができます。
元の色がかなり濃い歯やテトラサイクリン歯などの薬剤が効きにくい歯に有効です。
| 治療期間 | 準備中 |
|---|---|
| 治療費用 | 準備中 |
| 治療のリスク | 準備中 |
| 治療期間 | 準備中 |
|---|---|
| 治療費用 | 準備中 |
| 治療のリスク | 準備中 |
| 治療期間 | 準備中 |
|---|---|
| 治療費用 | 準備中 |
| 治療のリスク | 準備中 |
| 治療期間 | 準備中 |
|---|---|
| 治療費用 | 準備中 |
| 治療のリスク | 準備中 |




| 治療期間 | 準備中 |
|---|---|
| 治療費用 | 準備中 |
| 治療のリスク | 準備中 |
| 治療期間 | 準備中 |
|---|---|
| 治療費用 | 準備中 |
| 治療のリスク | 準備中 |




| 治療期間 | 準備中 |
|---|---|
| 治療費用 | 準備中 |
| 治療のリスク | 準備中 |




| 治療期間 | 準備中 |
|---|---|
| 治療費用 | 準備中 |
| 治療のリスク | 準備中 |




| 治療期間 | 準備中 |
|---|---|
| 治療費用 | 準備中 |
| 治療のリスク | 準備中 |
| 治療期間 | 準備中 |
|---|---|
| 治療費用 | 準備中 |
| 治療のリスク | 準備中 |



| 治療期間 | 準備中 |
|---|---|
| 治療費用 | 準備中 |
| 治療のリスク | 準備中 |
| 治療期間 | 準備中 |
|---|---|
| 治療費用 | 準備中 |
| 治療のリスク | 準備中 |
| 治療期間 | 準備中 |
|---|---|
| 治療費用 | 準備中 |
| 治療のリスク | 準備中 |




| 治療期間 | 準備中 |
|---|---|
| 治療費用 | 準備中 |
| 治療のリスク | 準備中 |




| 治療期間 | 準備中 |
|---|---|
| 治療費用 | 準備中 |
| 治療のリスク | 準備中 |
| 治療期間 | 準備中 |
|---|---|
| 治療費用 | 準備中 |
| 治療のリスク | 準備中 |



| 治療期間 | 準備中 |
|---|---|
| 治療費用 | 準備中 |
| 治療のリスク | 準備中 |
| 治療期間 | 準備中 |
|---|---|
| 治療費用 | 準備中 |
| 治療のリスク | 準備中 |






| 治療期間 | 準備中 |
|---|---|
| 治療費用 | 準備中 |
| 治療のリスク | 準備中 |



| 治療期間 | 準備中 |
|---|---|
| 治療費用 | 準備中 |
| 治療のリスク | 準備中 |




1)詰め物や被せ物は、ホワイトニングをしても白くなりません。
2)ホワイトニング後、着色系の飲食は控えてください。(※炭酸飲料・レモンは効果が弱くなります)
3)カスタムトレイ(マウスピース)を装着しての飲食はおやめください。
4)以下の方はホワイトニングできません。
(重度の歯周病の患者様 / 無カタラーゼ症 / 妊娠中・授乳期の方 / 小児(16歳以下))
| 診療時間 | 月 | 火 | 水 | 木 | 金 | 土 | 日 | 祝 |
|---|---|---|---|---|---|---|---|---|
| 10:00~12:00 | × | × | ○ | ○ | ○ | × | × | × |
| 14:00~17:00 | × | × | ○ | ○ | ○ | × | × | × |
