専門研修を5年以上、矯正歯科臨床研修など矯正治療に関して適切かつ充分な学識と経験を有する日本歯科学会認定医の女性歯科医師が、1人1人個別にお話をお聞きし、最適な方法をご提案いたします。
※月に1度(日曜日)のみの診療となります。詳しくはお問い合わせください。

「初診・相談」をとても大切にしています。来院してくださった患者さまが心からご納得して次のステップへ進めるように、治療期間や費用、お支払い方法、仕上がりや治療方法などについて、一つひとつ丁寧にご説明するように心がけています。
経験豊富な矯正歯科医師が、お悩みご不安をお聞きいたしますのでお気軽にご来院ください。※相談料:3,300円税込
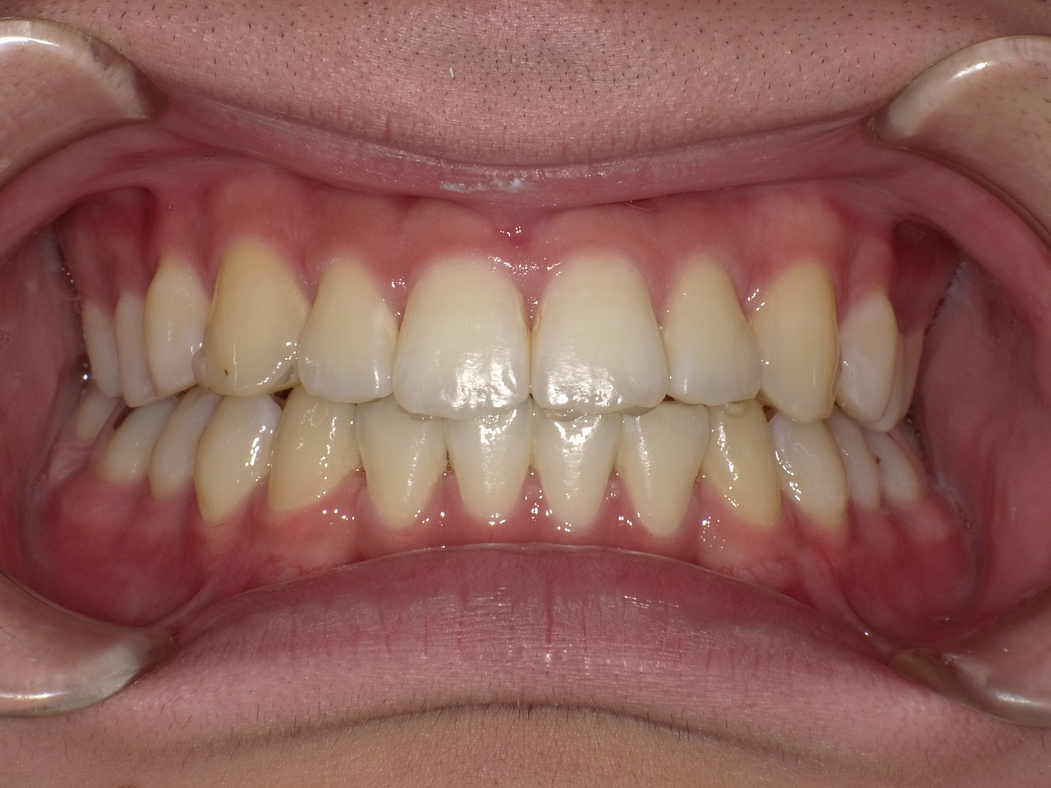
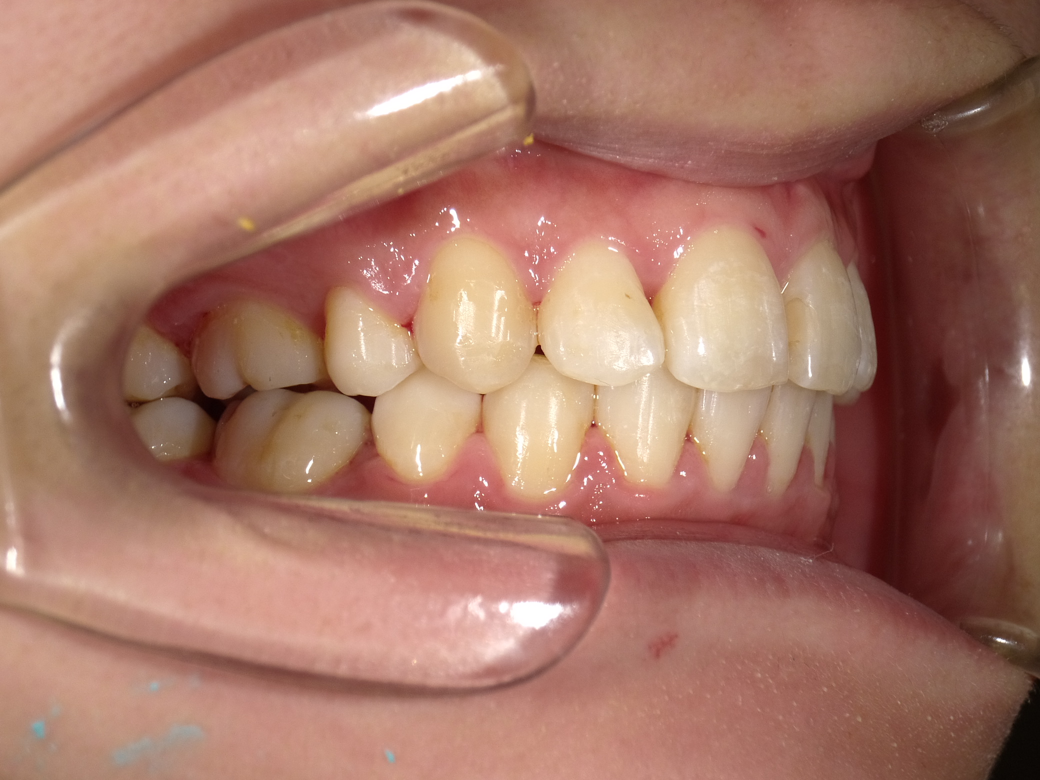
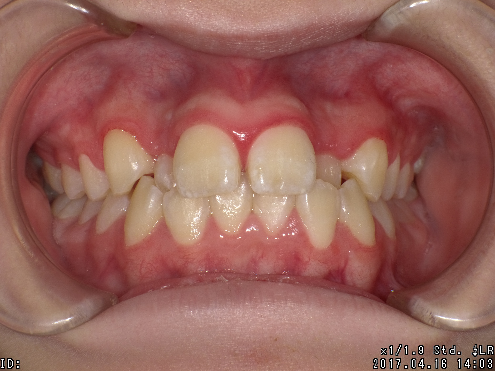
透明色のブラケットなので金属製ブラケットよりも目立ちませんが、表側につけるので、装置自体は見えます。
基本治療費:¥770,000税込
| 治療期間 | 2013年11月 〜2016年07月 |
|---|---|
| 治療費用 | 約700,000円 |
| 抜歯有無 | 抜歯有り |
| 矯正箇所 | 上顎・下顎 |
| 治療のリスク | 治療の過程で使用する針金やゴムにより、違和感や不快感を感じたり、口内炎になることがあります。 |
| 治療期間 | 2015年09月 〜2017年07月 |
|---|---|
| 治療費用 | 約700,000円 |
| 抜歯有無 | 抜歯有り |
| 矯正箇所 | 上顎・下顎 |
| 治療のリスク | 治療の過程で使用する針金やゴムにより、違和感や不快感を感じたり、口内炎になることがあります。 |
| 治療期間 | 2017年7月 〜2019年05月 |
|---|---|
| 治療費用 | 約700,000円 |
| 抜歯有無 | 抜歯有り |
| 矯正箇所 | 上顎・下顎 |
| 治療のリスク | 治療の過程で使用する針金やゴムにより、違和感や不快感を感じたり、口内炎になることがあります。 |
| 治療期間 | 2017年07月 〜2019年06月 |
|---|---|
| 治療費用 | 約700,000円 |
| 抜歯有無 | 抜歯有り |
| 矯正箇所 | 上顎・下顎 |
| 治療のリスク | 治療の過程で使用する針金やゴムにより、違和感や不快感を感じたり、口内炎になることがあります。 |
| 治療期間 | 2017年07月 〜2019年05月 |
|---|---|
| 治療費用 | 約700,000円 |
| 抜歯有無 | 抜歯有り |
| 矯正箇所 | 上顎・下顎 |
| 治療のリスク | 治療の過程で使用する針金やゴムにより、違和感や不快感を感じたり、口内炎になることがあります。 |
| 治療期間 | 2014年05月 〜2016年04月 |
|---|---|
| 治療費用 | 約700,000円 |
| 抜歯有無 | 抜歯有り |
| 矯正箇所 | 上顎・下顎 |
| 治療のリスク | 治療の過程で使用する針金やゴムにより、違和感や不快感を感じたり、口内炎になることがあります。 |
| 治療期間 | 2013年10月 〜2017年03月 |
|---|---|
| 治療費用 | 約700,000円 |
| 抜歯有無 | 非抜歯 |
| 矯正箇所 | 上顎・下顎 |
| 治療のリスク | 治療の過程で使用する針金やゴムにより、違和感や不快感を感じたり、口内炎になることがあります。 |
| 治療期間 | 2014年11月 〜2016年07月 |
|---|---|
| 治療費用 | 約700,000円 |
| 抜歯有無 | 非抜歯 |
| 矯正箇所 | 上顎・下顎 |
| 治療のリスク | 治療の過程で使用する針金やゴムにより、違和感や不快感を感じたり、口内炎になることがあります。 |
| 治療期間 | 2017年04月 〜2019年08月 |
|---|---|
| 治療費用 | 約700,000円 |
| 抜歯有無 | 抜歯有り |
| 矯正箇所 | 上顎・下顎 |
| 治療のリスク | 治療の過程で使用する針金やゴムにより、違和感や不快感を感じたり、口内炎になることがあります。 |
| 治療期間 | 2016年04月 〜2019年06月 |
|---|---|
| 治療費用 | 約700,000円 |
| 抜歯有無 | 非抜歯 |
| 矯正箇所 | 上顎・下顎 |
| 治療のリスク | 治療の過程で使用する針金やゴムにより、違和感や不快感を感じたり、口内炎になることがあります。 |
| 治療期間 | 2013年11月 〜2016年07月 |
|---|---|
| 治療費用 | 約700,000円 |
| 抜歯有無 | 抜歯有り |
| 矯正箇所 | 下顎のみ |
| 治療のリスク | 治療の過程で使用する針金やゴムにより、違和感や不快感を感じたり、口内炎になることがあります。 |
| 治療期間 | 2018年12月 〜2020年03月 |
|---|---|
| 治療費用 | 約756,000円 |
| 抜歯有無 | 抜歯有り |
| 矯正箇所 | 上顎・下顎 |
| 治療期間 | 2020年11月15日 〜2021年12月19日 |
|---|---|
| 治療費用 | 約770,000円 |
| 抜歯有無 | 抜歯なし |
| 矯正箇所 | クリアブラケット矯正 |










| 治療期間 | 2020年11月15日 〜2022年3月13日 |
|---|---|
| 治療費用 | 約770,000円 |
| 抜歯有無 | 抜歯あり |
| 矯正箇所 | クリアブラケット矯正 |










| 治療期間 | 2020年7月19日 〜2022年4月10日 |
|---|---|
| 治療費用 | 約770,000円 |
| 抜歯有無 | 抜歯あり |
| 矯正箇所 | クリアブラケット矯正 |










| 治療期間 | 2020年7月19日 〜2022年1月23日 |
|---|---|
| 治療費用 | 約770,000円 |
| 抜歯有無 | 抜歯あり |
| 矯正箇所 | クリアブラケット矯正 |










| 治療期間 | 2021年4月18日 〜2022年10月16日 |
|---|---|
| 治療費用 | 約770,000円 |
| 抜歯有無 | 抜歯あり |
| 矯正箇所 | クリアブラケット矯正 |










| 治療期間 | 2020年10月18日 〜2022年7月10日 |
|---|---|
| 治療費用 | 約770,000円 |
| 抜歯有無 | 抜歯なし |
| 矯正箇所 | クリアブラケット矯正 |










| 治療期間 | 2021年1月27日 〜2022年10月16日 |
|---|---|
| 治療費用 | 約770,000円 |
| 抜歯有無 | 抜歯なし |
| 矯正箇所 | クリアブラケット矯正 |










| 治療期間 | 2021年6月13日 〜2022年12月11日 |
|---|---|
| 治療費用 | 約770,000円 |
| 抜歯有無 | 抜歯あり |
| 矯正箇所 | クリアブラケット矯正 |










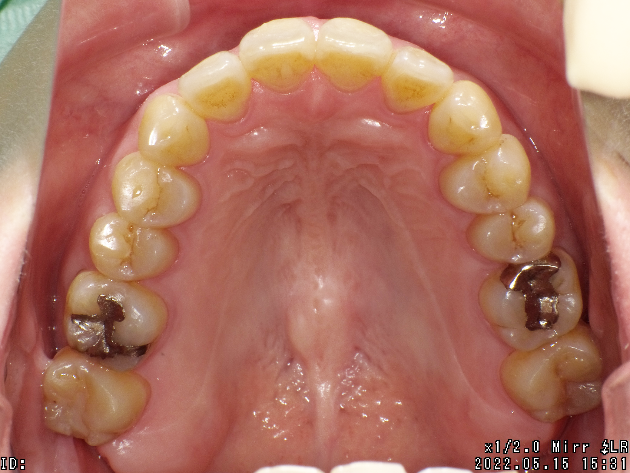
歯の裏側(舌側)にワイヤー装置をつけて裏側からコントロールする治療法です。表からは見えないので、周囲の人から気づかれずに治療できます。
基本治療費:
裏側矯正(上顎のみ)1,045,000円(税込)
裏側矯正(上下)1,320,000円(税込)
・全顎矯正
| 治療期間 | 2014年10月 〜2016年03月 |
|---|---|
| 治療費用 | 約950,000円 |
| 抜歯有無 | 抜歯有り |
| 矯正箇所 | 上顎・下顎 |
| 治療のリスク | 治療の過程で使用する針金やゴムにより、違和感や不快感を感じたり、口内炎になることがあります。 |
| 治療期間 | 2013年10月 〜2015年03月 |
|---|---|
| 治療費用 | 約0,000円 |
| 抜歯有無 | 非抜歯 |
| 矯正箇所 | 上顎・下顎 |
| 治療のリスク | 治療の過程で使用する針金やゴムにより、違和感や不快感を感じたり、口内炎になることがあります。 |
| 治療期間 | 2018年08月 〜2020年02月 |
|---|---|
| 治療費用 | 約1,026,000円 |
| 抜歯有無 | 非抜歯 |
| 矯正箇所 | 上顎のみ裏側ブラケット |
| 治療期間 | 2019年4月21日 〜2022年3月13日 |
|---|---|
| 治療費用 | 約1,045,000円 |
| 抜歯有無 | 抜歯あり |
| 矯正箇所 | 上顎のみ裏側ブラケット |










| 治療期間 | 2020年7月19日 〜2021年10月17日 |
|---|---|
| 治療費用 | 約1,045,000円 |
| 抜歯有無 | 以前に抜歯済み |
| 矯正箇所 | 上顎のみ裏側矯正 |










透明度が高くて目立たない、取り外しができる「マウスピース矯正」。アライナーと呼ばれる透明な着脱式のマウスピースを用いる治療法です。装置は自分で取り外しができます。
「矯正していることを、あまり人に気づかれたくない」
「装置がずっと歯についていることに抵抗がある」
「仕事柄、装置が見えているのはNG」
見た目や違和感に抵抗があって、今まで治療に躊躇していた人にとって、マウスピース矯正は矯正治療の一歩を踏み出す治療法です。
基本治療費:¥880,000税込

基本的には、ブラッシング時以外は出来るだけ付けていただく事が望ましいです。付けたり外したりすると、治療期間が延びてしまう可能性があります。
マウスピース矯正において、痛みを感じるのは主に着脱の時のみです。装着してしまえば、痛みはほとんど感じません。
患者様により異なりますが、一般的に治療期間は2年半程度、保定期間は3年半程度です。
| 治療期間 | 2016年04月 〜2018年01月 |
|---|---|
| 治療費用 | 約800,000円 |
| 抜歯有無 | 非抜歯 |
| 矯正箇所 | 上顎・下顎 |
| 治療のリスク | ほっぺた、唇、舌などに口内炎や傷ができることがあります。 |
| クリアブラケット | ¥770,000 |
|---|---|
| 裏側矯正 | ¥1,045,000(上顎のみ) ¥1,320,000(上下) |
| マウスピース矯正 | ¥880,000 |
| ご相談・ 歯のレントゲン写真 |
¥3,300 |
| 写真撮影・お口の型取り・ 精密検査 |
¥55,000 |
| 診療時間 | 月 | 火 | 水 | 木 | 金 | 土 | 日 | 祝 |
|---|---|---|---|---|---|---|---|---|
| 10:00~12:00 | × | × | ○ | ○ | ○ | × | × | × |
| 14:00~17:00 | × | × | ○ | ○ | ○ | × | × | × |
